We Can Bring Back Your Lost Smile
Every small step you take towards happiness and confidence helps to light the way. Remember that a beautiful smile is a reflection of the strength and joy you carry inside.
TEETH ISSUES WE CAN FIX
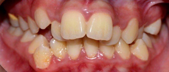
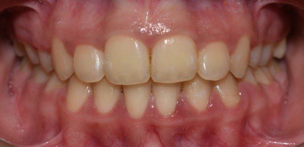
MALALIGNED TEETH
Malalignment/Malocclusion is the improper alignment of teeth and/or jaws, resulting in the upper and lower teeth not fitting together correctly when the mouth is closed. Treatment options involves Orthodontic Braces/Aligners, Habit breaking appliances, Orthognathic surgery.
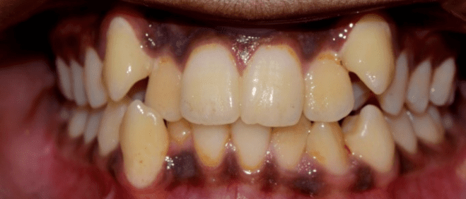
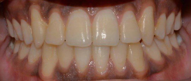
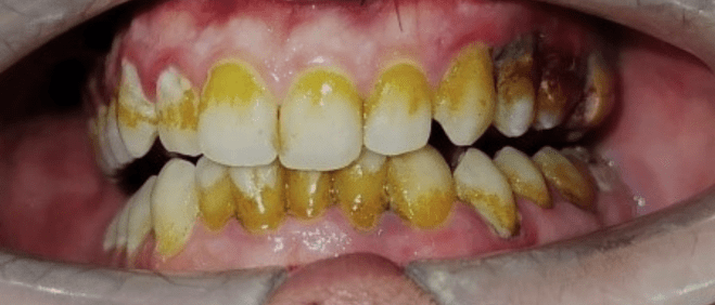
TEETH DISCOLORATION
Tooth discoloration is a condition in which teeth lose their natural white color and develop an altered shade such as yellow, brown, gray, or black, depending on the underlying cause. It may result from external factors (food, drinks, tobacco), internal factors (fluorosis, medications, trauma), or age-related changes.
MISSING TEETH:
Missing teeth, also known as edentulism (when multiple are absent), is the condition in which one or more teeth are lost due to decay, gum disease, trauma, congenital absence, or other factors. It can negatively impact function (chewing, speaking), appearance (smile, facial profile), and oral health by causing tooth shifting, bone loss, and reduced confidence.
TEETH INFECTION
A teeth infection occurs when bacteria invade the dental pulp—the innermost part of the tooth containing nerves and blood vessels. This leads to inflammation, pus formation, and severe pain, and is commonly referred to as a tooth abscess.
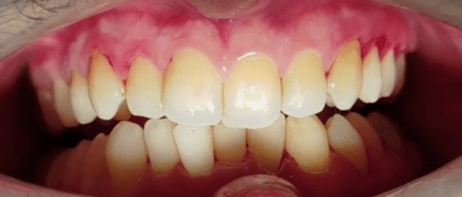
Transformations in Real-Time
Your smile is one of a kind, and your journey to a perfect smile should be too. Receive the care you deserve with a treatment plan made for you.







